全省首场!驻村艺术家成果汇报演出在盐城盐都区盐渎街道上演

2025-12-11 来源:江南时报网

免责声明:本站所有信息均搜集自互联网,并不代表本站观点

如侵犯您的权益请联系kf@tianqi.com

热点新闻

广州一甜品店男店主发布不当言论引热议 当地回应:已进行思想教育

广州一甜品店男店主发布不当言论引热议 当地回应:已进行思想教育

大皖新闻
109阅读
赊来2万多的酒水转手贱卖!合肥一男子被抓

赊来2万多的酒水转手贱卖!合肥一男子被抓

大皖新闻
16阅读
重庆警方通报“男子入室盗窃被监控拍下”:已在外省将其抓获

重庆警方通报“男子入室盗窃被监控拍下”:已在外省将其抓获

中国网
90阅读

西安建筑科技大学科创团队为老旧小区做“CT”

华商网-华商报
25阅读

吉网调查| “甩一甩”温度计禁产在即:市场平稳过渡 药店称“没有人囤货”

中国吉林网
42阅读
看了科普报道 书法老师赶紧带着面黄肌瘦的学生去医院 果然……小肠多处溃疡

看了科普报道 书法老师赶紧带着面黄肌瘦的学生去医院 果然……小肠多处溃疡

杭州网
16阅读

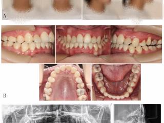
十年攻坚!破解罕见先天病CCD少女的复杂牙齿迷宫!

鲁网
56阅读
石家庄市复兴大街小学举办家校共育活动

石家庄市复兴大街小学举办家校共育活动

河北新闻网
4阅读
“一起遇见威海”2025年网络话题挑战赛颁奖活动举行

“一起遇见威海”2025年网络话题挑战赛颁奖活动举行

鲁网
5阅读

帮助视障人士过马路 厦门三名“小孩哥”书写“最美盲道”

厦门日报
17阅读
平度市第三人民医院:放心托付 全力以赴

平度市第三人民医院:放心托付 全力以赴

鲁网
42阅读
你家物业费降了吗?-南昌新闻中心

你家物业费降了吗?-南昌新闻中心

大江网-信息日报
28阅读

数据加载中